Orphaned Breadwinner Critical: Rasyid Needs Urgent Brain Surgery After Accident
Fundraiser
Unang Anggraeni Lestariningsih is Rasyid's family

At just 28 years old, Rasyid Hasta Mei Pribowo is fighting for his life after a devastating accident left him with multiple traumatic injuries.

 

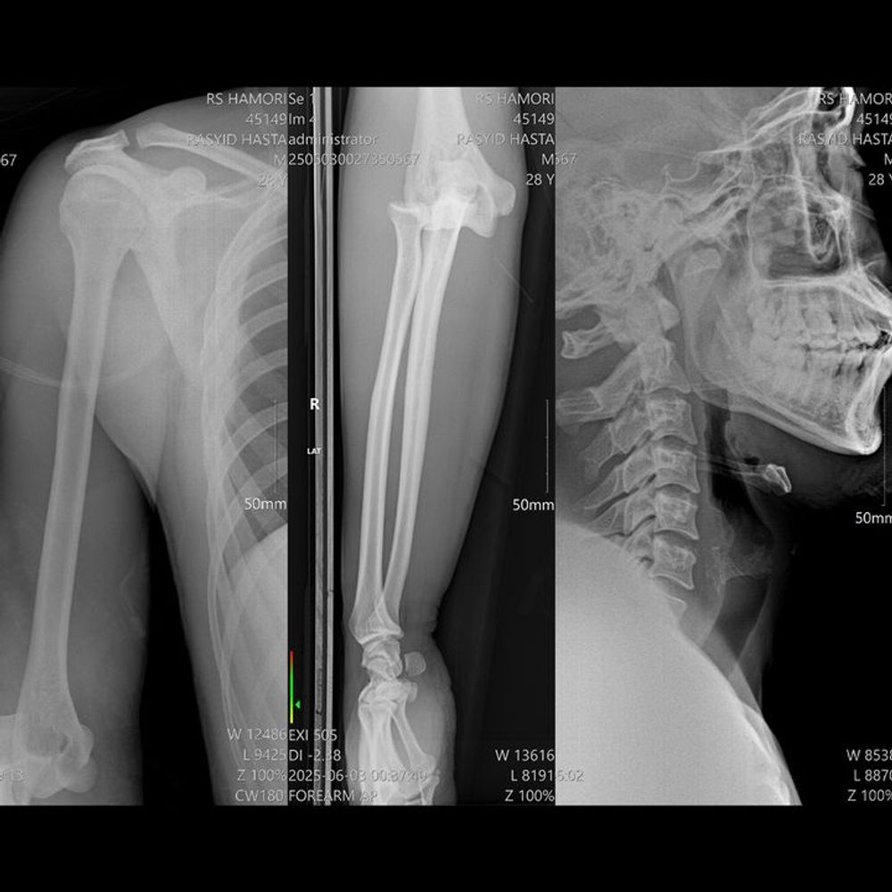
On his way to work, he was involved in a serious crash that caused massive head trauma, bleeding in the brain (EDH, SDH, ICH), a skull fracture, and fractures in his right arm, along with severe injuries to his face, jaw, shoulders, and hands. He lost consciousness and even went into cardiac arrest before doctors managed to save him. Emergency brain surgery was performed, and he has remained in intensive care since.

 

This tragedy struck a young man who had already endured immense loss. In just two years, Rasyid lost both parents and a sibling, leaving only him and his younger brother. They live simply in their late parents’ home, surviving as daily laborers with barely enough for food. Now, with Rasyid in critical condition, their fragile world has collapsed.

 

The challenges ahead are overwhelming. Beyond recovering from brain surgery, Rasyid will need further operations to repair his arm, as well as long-term rehabilitation and physiotherapy. Without these treatments, he risks permanent disability—or worse.

 

For his brother, the hardest moment was signing consent for emergency surgery while having no money to pay. Fearing he might lose Rasyid because of poverty, not just his injuries. Still, he holds onto hope that Rasyid will survive, heal, and one day return to work so they can continue building a life together.

 

Please #KindSouls, help give Rasyid a chance to recover. Your support can cover his surgeries, treatments, and rehabilitation—bringing hope to a young man who has already lost so much.

 

HOW TO DONATE:
  1. Click Sponsor
  2. Fill in the amount to donate
  3. Fill in details
  4. Choose a payment method and continue the transaction
  5. Your donation is successful and a receipt will be sent via email
Disclaimer: The information, opinions and photos on this fundraising page are the property and responsibility of the fundraiser. If there are any problems/suspicions, please report them to [email protected].
Updates 6
Donations 106
Good Person donated
S$50 - 4 months ago
Good Person donated
S$10 - 4 months ago
Good Person donated
S$50 - 4 months ago
Good Person donated
S$30 - 4 months ago
Good Person donated
S$30 - 4 months ago
Good Person donated
S$20 - 4 months ago
Good Person donated
S$50 - 4 months ago
Good Person donated
S$10 - 4 months ago
Good Person donated
S$20 - 4 months ago
Good Person donated
S$75 - 4 months ago
View More..